Correspondentieadres: Ambachtsweg 5K, 3953 BZ Maarsbergen

Home

[rev_slider alias=”slider-1″][/rev_slider]

Vakmanschap en snelheid: dat is werken met Orthospeed!

Voor het maken van clear overlay retainers (nachtbeugels) hanteren wij zelfs een unieke levertijd van slechts 48 uur! Dat kunnen wij garanderen omdat wij werken met nachtkoeriers. Uw afdruk komt bij ons in de vroege ochtend binnen, het werkstuk is dan al aan het eind van de werkdag gereed. Wij versturen het nog diezelfde avond naar uw praktijk: waar het dus in de ochtend voor u klaarligt. Wanneer u uw alginaat-afdruk op maandagmiddag verstuurt betekent dit, dat u het complete werkstuk al op woensdagochtend in uw bezit heeft. Plaatsing is daardoor binnen 48 uur mogelijk, de elementen krijgen na het de-bonderen, geen gelegenheid zich te verplaatsen.

Ook bij onze overige werkstukken zijn onze levertijden kort. U kunt ervoor kiezen om van uw studiemodellen, tevens digitale beelden te ontvangen. Tegen een kleine meerprijs krijgt u perfecte opnamen die u direct aan het behandelplan kunt toevoegen. Kijk hier voor een voorbeeld.

Daarnaast maken we speciale set-ups / correcties met behulp van clear overlay retainers. Zo kunnen we elementen in kleine stapjes verplaatsen en/of rechtzetten. Vaak is dit een betere optie dan direct voor een geheel nieuwe beugel te kiezen. Tenslotte plaatsten wij ook tijdelijke elementen in retainers, met een dubbel effect. De ruimte is optisch opgevuld, uw patiënt loopt daardoor niet met een lelijk “gat” in het gebit rond. Anderzijds blijven de buurelementen door de retainer mooi in dezelfde positie.

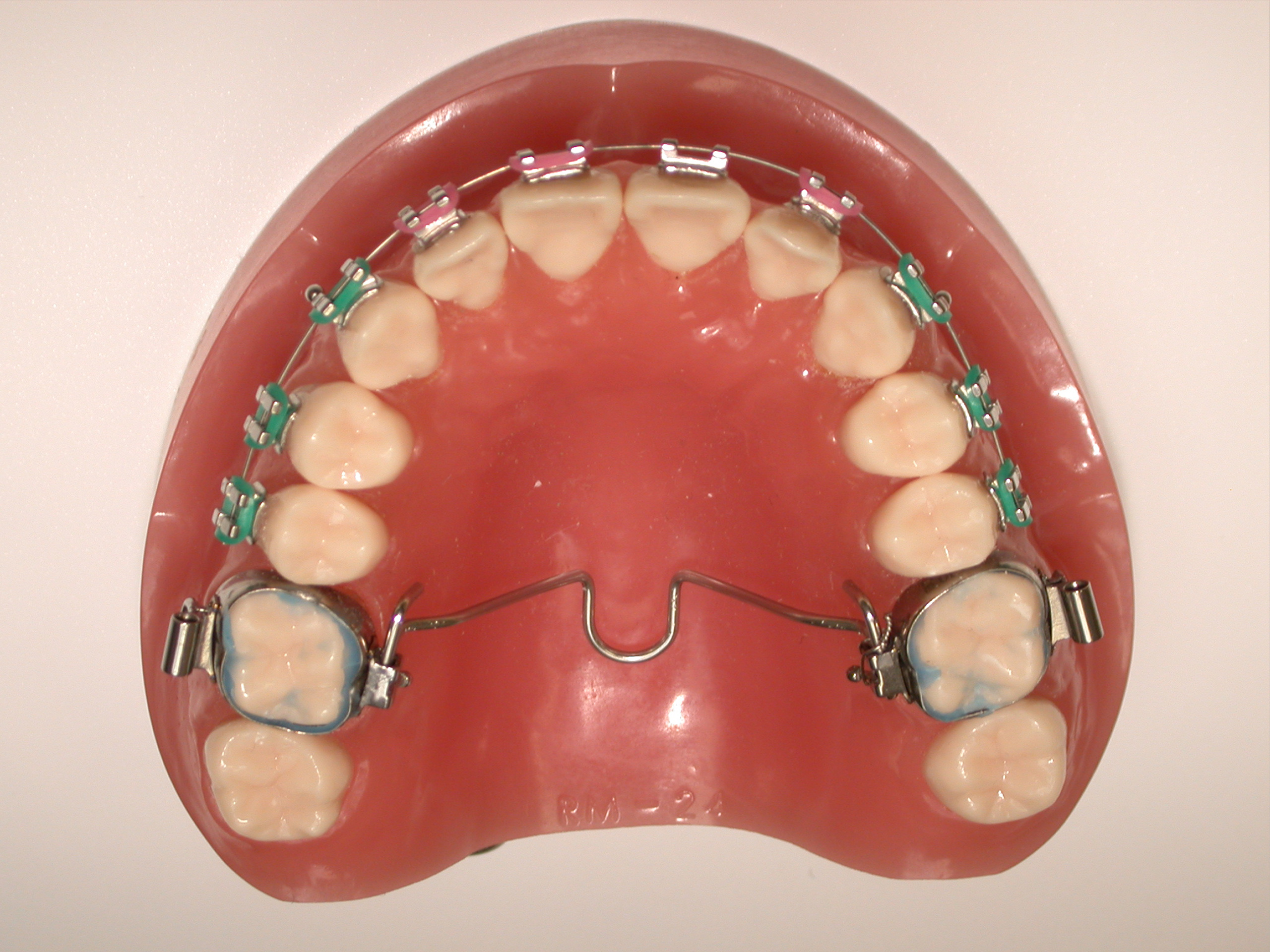
Op onze pagina met werkstukken treft u alle informatie aan over alle mogelijke werkstukken. Tenslotte: heeft u een vraag over het activeren van een RPE/Hyrax? Kijk hier voor alle leverbare maten.


Werkstukken


RPE/Hyrax

Bekijk de werkstukken


  • Modellen

    Modellen

    Met precisie vormgegeven gipsmodellen, waarop uw werkstuk wordt vormgegeven of die als uitgangspunt voor uw behandelplan dienen.


  • Expansie-apparatuur

    Expansie-apparatuur

    Met deze gespecialiseerde werkstukken kan de bovenkaak stapsgewijs worden verbreed.


  • Distalisatie-apparatuur

    Distalisatie-apparatuur

    Speciaal ontworpen werkstukken voor het mobiliseren van molaren in de onder- en bovenkaak.


  • Retentie-apparatuur

    Retentie-apparatuur

    Voor het fixeren van elementen en molaren, na uw orthodontische behandeling.


  • Overige werkstukken en producten

    Overige werkstukken en producten

    U vindt hier een ruime keuze aan overige gespecialiseerde werkstukken en producten.


  • Digitale beelden / studiemodellen

    Digitale beelden / studiemodellen

    Een map met haarscherpe digitale beelden van uw studiemodellen, om direct aan uw behandelplan toe te voegen.

    Referenties

    Het is voor ons erg belangrijk dat klanten tevreden zijn; daar doen we ons uiterste best voor, iedere dag weer. We zijn er daarom trots op de onderstaande klantervaringen met u te mogen delen:

    “Wij zijn erg tevreden over de samenwerking met Orthospeed en Yalcin. Het werkt prettig: korte lijnen, makkelijk overleg en alles is mogelijk. Yalcin werkt punctueel, komt afspraken altijd na en de werkstukken zien er erg netjes uit!”

    Marlot

    Mondaat, regiopraktijk voor tandheelkunde en orthodontie

    “Wij zijn erg tevreden over Orthospeed. De kwaliteit is constant, de levering is snel en Orthospeed is altijd goed bereikbaar voor overleg. Dit geeft een prettige samenwerking!”

    Nadine

    Tandartspraktijk voor Orthodontie Lassus

    “Orthospeed is een super ortho-lab om mee samen te werken. Servicegericht, punctueel en de werkstukken zijn van hoge kwaliteit. We hebben al meer dan 15 jaar een fijne samenwerking! “.

    Marjolein

    Carnisse Mondzorg

    Top